Cross-sectional images
A stack of transverse cross-sectional images from computed tomography (CT, left) forms the basic material for the Virtual Mummy. Various structures such as the light bone and the somewhat darker linen wrapping surrounding it are clearly visible. The sagittal (center) and coronal (right) sections are reconstructed from this.
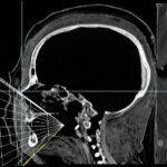
Parts of the head
An image sequence of reconstructed perspective views simulates the unwrapping of the mummy. Four partially colored light sources serve as illumination. The light from below creates a somewhat ghosty impression. The right image shows a dissection with two cuts.
![]()
The head is covered by a painted mask, made of linen cardboard. Underneath lies the crown of justification (yellow). The body is wrapped in several layers of linen (orange). At the back of the skull, traces of hardened embalming oil (red) can be found. A stick (green) serves as stabilization for the head. The mummy still rests in the original base of the 2300 year-old coffin (violet).
Presentation
For the presentation of the Virtual Mummy, there are no limits to the imagination (left). Computer graphics also makes it possible to arbitrarily choose the position of the observer. For example, the virtual camera can be placed in the oral cavity (center), so that an inside view of the teeth is created (right).
Panoramic radiograph
The program can also calculate artificial X-ray images, for example a panoramic radiograph of the teeth of the mummy, similar to those commonly made by a dentist. It shows some interesting findings.
Red/green stereo
Depth perception can be enhanced by a stereogram of the image. These images must be viewed with red/green glasses. Colors are lost, though, when using this method.
Back to the Virtual Mummy













